소아/청소년


1. 과잉치
정상적인 치아의 개수보다 더 많은 치아가 자라나는 것을 말합니다.
유치열기에 발견되는 과잉치는 영구치의 맹출을 방해하는 요소가 되며
치아가 올바르게 배열될 공간이 부족하여 치아배열의 이상, 부정교합이 유발될 수 있습니다.

2. 설소대
설소대는 혀 아래 부분과 점막 부분을 잇는 띠 모양의 힘살을 말하며
진단 시 설소대 단축증과 같은 설소대의 이상이 발견될 경우에는 치료가 필요할 수 있습니다.


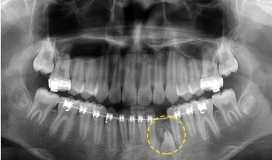
3. 치아종
치아종은 치아가 작은 덩어리로 여러 개 뭉쳐잇는 것을 말하며 복합 치아종과 복잡 치아종으로 나눠집니다.
치아종 제거 후 치아교정을 통해 맹출되지 못한 치아를 맹출 시킵니다.
다양한 상황속에서 발생되는 외상으로 인한 치아는 어떻게 대처해야 하나요?
아이들의 경우 놀이나 운동중에 넘어지거나 부딪혀 치아가 일부 깨지거나 금이 가거나
흔들리는 경우가 생깁니다.
이런 경우 부딪힐 당시 충격으로 영구치에 손상을 줄 수 있으며,
치아가 깨지지 않았다 하더라도 1~2개월 후에 신경이 죽어 색이 변할 수 있습니다.
따라서 이런 경우 바로 병원에 내원하셔서 아이의 치아 상태를 진단해 보시는 것이 무엇보다 중요합니다.
061.
287.
2800
온라인상담
유튜브
오시는길
진료안내